Throughout his career, Dr. Studin has done over 10,000 surgeries, earning the trust of his patients, who have come from around the world to have him do their surgery.
Having trained at such places as Mount Sinai, in New York, Columbia, NYU, Harvard, and Memorial Sloan Kettering, Dr. Studin was awarded the prestigious Fellow of the American College of Surgeons (FACS), is board-certified by the American Board of Plastic Surgery and is a member of the Americans Society of Plastic Surgeons.
Dr. Studin is an internationally acclaimed expert in breast surgery. Over a decade as director of a breast center in Manhattan and awarded a patent for improving breast implant placement, he is trusted by patients and peers worldwide.
Using an advanced technique that he developed, patients wake up pain-free, and most feel no pain at all during recovery.
Dr. Studin has been awarded over 40 patents in 26 countries, and has new patents in process as he continues to be a leading innovator in medicine and surgery.
Over 10,000 Surgeries
Outstanding Credentials
World Reknowned Breast Expert
Pain-Free
40 Patents in 26 Countries
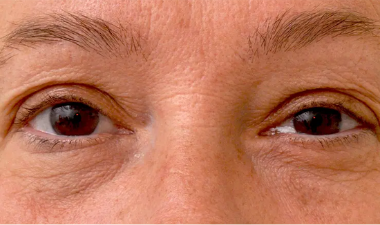
Why Choose Laser Eyelift Surgery?
Laser eyelift is a groundbreaking procedure that uses laser technology to achieve a more youthful and rejuvenated appearance for the eyes. Laser eyelift is an alternative to traditional eyelift surgery, using a laser instead of a scalpel to make incisions. It is not the same as Fraxel or Laser Resurfacing. This method uses the laser to make the incisions so vessels are sealed as incisions are made. The result is less traumatic and there is less swelling, bruising, and discomfort during the recovery. Additionally, laser eyelift offers a faster recovery time, allowing patients to return to their daily activities sooner.
During the laser eyelift procedure, Dr. Studin carefully removes excess skin and fat from the upper and lower eyelids, smoothing out any wrinkles or drooping skin. The laser technology allows for precise and accurate incisions, resulting in a natural and refreshed appearance for the eyes.
Types of Eyelifts
-
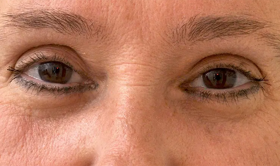
Upper Blepharoplasty
This targets droopiness and puffiness of the upper eyelids, with incisions made within the natural crease for minimal visibility. The results will be a more rested, alert and youthful appearance, lasting many years.
-
Lower Blepharoplasty
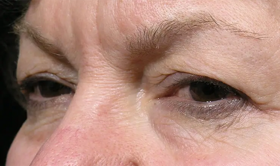
If there is bagginess and dark circles under the eyes along with extra skin, this procedure removes excess skin and fat through an incision below the lash line.
-
Lower Eyelid Surgery Without A Visible Incision.
If you have excess fat with only a small amount of excess skin, causing your eyelid bags and dark circles, this can be corrected from inside the eyelid without any incision outside at all!
-
Eyelift With Local Anesthesia
If you only have extra skin and fat of the upper eyelids, it is possible to do your eye lift under local anesthesia, without going to sleep. This is especially made easier with the laser procedure.
Cost of Laser Eyelift Surgery
The cost of an eyelift varies based on what is needed. Financing plans for cosmetic eyelid surgery are often available. Discuss pricing and payment options during your consultation with Dr. Studin.
Are you a candidate?
If you have excess skin and fat, causing hooding of the upper eyelids or lower eyelid bags and circles, eyelift surgery can help you.
Schedule Your Consultation
Having a consultation with Dr. Studin is important so you can properly understand the procedure, set expectations, and prepare for surgery properly. Dr. Studin will review your medical history and discuss the best approach for achieving your desired outcome. You will see pictures of patients that are similar to you who have had the surgery in the past. This will give you a great idea of what you can expect.
Preparation
-
Dr. Studin sit with you during your consultation to understand your goals your medical history, and your concerns. You will review photos
of similar patients that have had the procedure in the past and your photos will be taken for planning the surgery.
-
You will have a second consultation shortly before your surgery to review the photos once again and go over your preoperative
instructions with Dr. Studin and the nurses.
-
You will come to the facility the day of your surgery with an escort, to help take you home. You will have already spoken to the anesthesia
staff and all of your questions will have been answered.
Eyelift Plastic Surgery Procedure
STEP 1
STEP 2
STEP 3
STEP 4
Anesthesia
You will meet with the anesthesiologist and the nurses as well as with Dr. Studin. A short acting general anesthesia will be administered so you are asleep unless you have opted to have the procedure under local anesthesia.
Incision
After you are asleep, the incisions will be made to remove the excess fat and skin using the laser.
Results
While you are asleep, Dr. Studin will administer local anesthetic to the area so you wake up feeling very comfortable.
Recovery
He will spend a few hours in the surgical facility being cared for by the nurses until you are fully awake and able to go either home or to a local hotel. You will start your pain medicine right after surgery, in the recovery room so when the local anesthesia wears off, you will feel very little discomfort.
DR. STUDIN EXPLAINS EYELIFT
See Dr. Studin's videos by clicking a thumbnail.
Frequently Asked Questions
How long does it take to recover from eyelift surgery?
Pain after eyelift surgery is minimal in most cases. It is easily controlled with pain medicine, which is usually only needed for a day or so. Swelling and bruising usually subsides enough to be covered with a little make up after about five days.
Is Eyelift Surgery Painful?.
Local anesthesia is administered at the beginning of this procedure, so after the surgery you will feel almost nothing. Pain medicine is usually only needed for a day or so after this procedure. Most people are surprised at how little discomfort they experienced
Cost of Eyelift Surgery?
Costs for Eyelefit surgery will range from $4,000 to over $12,000. This is variable, based on what procedures are needed to accomplish each patient's individual goals.
How Long Do Results Last?
Eyelift surgery last one second, and forever. You are getting older the second the procedure is finished. This does nothing to stop the clock. On the other hand, whatever has been removed, has been removed forever. Whatever falls later will depend on genetics, how much you care for your skin and how much you protect yourself from sun exposure. Most people find that this procedure needs to be redone after about 10 to 15 years. Obviously, this is very variable
Will I be awake during eyelift surgery?
If you are only doing an upper eyelid surgery, you have the option of doing it under local anesthesia while you're awake. If you are doing lower eyelids, or both uppers and lowers, it is done under a fast acting general anesthesia and you are asleep.
Blogs
@dr.studin
Follow Us To Stay Tuned































